안녕하세요 뉴진스 멤버 혜인이 활동을 중단하게 되서 많은 팬들을 안타깝게 하고 있습니다. 어떤 이유로 활동을 중단하게 되었는지 이유를 함께 정리해보고 혜인과 관련된 정보 몇 가지도 함께 정리해보도록 하겠습니다.
자동목차
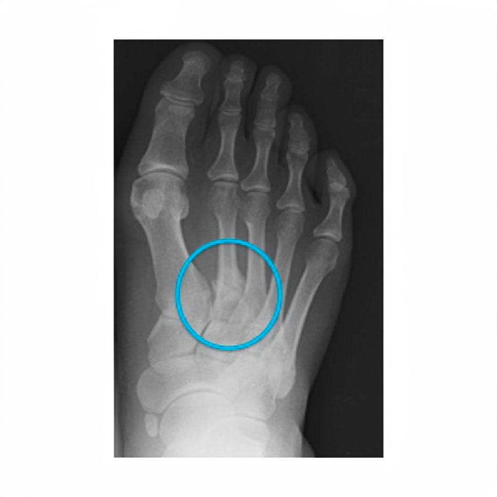
활동 중단 이유

활동을 중단하게 된 이유는 발등 부상으로 알려졌습니다. 연습 도중 통증을 느껴 검사를 해본 결과 발등 미세 골절로 판정이 되었는데 현재로서는 복귀 및 컴백 일정이 불확실한 상태라고 합니다. [참고] 미세골절은 엑스레이에서도 잘 보이지 않을 정도로 실금이 간 상태를 말하는데 방치될 경우 균열이 더 커질 수 있는 것으로 알려져 있습니다.
미세골절 치료 기간
스포츠계에서는 잦은 부상 중 하나인데 치료 기간은 보통 빠르면 1개월 오래 걸리면 2개월까지도 걸리는 부상입니다. 치료는 고정 깁스를 착용한 상태로 지내야 하는데 많이 불편할것으로 보여집니다.
뉴진스 인스타그램
멤버들이 아직 미성년자인 관계로 소속사에서 무분별한 DM으로부터 보호하기 위해 현재는 공식 계정만 운영되고 있는것으로 알고 있습니다. 아래는 뉴진스 공식 인스타그램 주소입니다.
https://www.instagram.com/newjeans_official/
뉴진스 소속사
소속사는 어도어 소속사이며 현재 홈페이지 방문시 오디션 메뉴가 눈에 띄게 보입니다. 소셜 메뉴들이 사이트 하단에 나와있는데 인스타그램 아이콘 옆을 확인해보면 NJ라는 작게 표시된 아이콘을 통해 뉴진스 사진들을 감상할 수 있습니다.

해당 메뉴를 클릭하면 페이지 이동이 되는데 우측 상단에 갤러리 이미지 아이콘을 누르면 그제서야 뉴진스 멤버들 사진을 볼 수 있습니다.

아래는 일부 사진들만 다운로드 하여 첨부하였습니다. 홈페이지로 이동시 더 많은 사진들을 감상할 수 있으니 참고하시길 바랍니다.




사진 촬영은 필름 카메라로 촬영된 듯 보이는데 사진의 퀄리티나 구도, 감성적인 느낌을 담아낸 느낌이 모두 작품 수준이기 때문에 꼭 방문해서 감상해보길 추천드립니다.
NewJeans
newjeans.kr